Logo CP horizontal

Nuestra Historia

Logo Compasion Purpura Lienal Color

El Comienzo

18 DE FEBRERO DE 2014
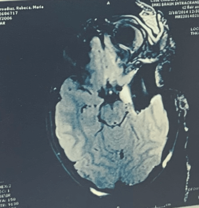
Rebeca sufría de epilepsia refractaria focal de origen estructural. Fue operada a los 7 años para remover 20% de su cerebro dañado.
image placeholder 1image place holder 2image place holder 3image place holder 4
Radiografías del cerebro de Rebeca antes y después de extirparle el lóbulo temporal izquierdo.
El Cerebro de Rebeca antes de su cirugía
Antes de la cirugía
El Cerebro de Rebeca después de extirparle el lóbulo temporal izquierdo
Después de la cirugía

El Presente

Rebeca consciente de lo bendecida que ha sido, a sus 11 años de edad, decidió ayudar a niños con epilepsia en El Salvador y así nace Fundación Compasión Púrpura.
Logo CP horizontal
Oficinas
Boulevard El Hipódromo y Avenida Las Magnolias.
Colonia San Benito, San Salvador, El Salvador.
Diseñado por